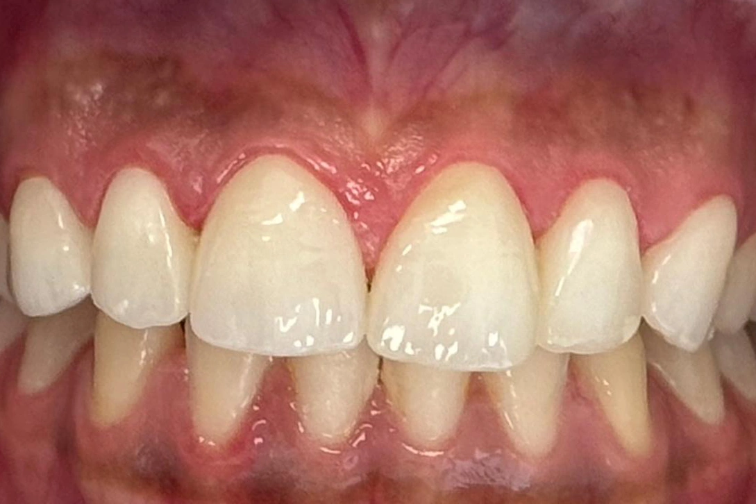
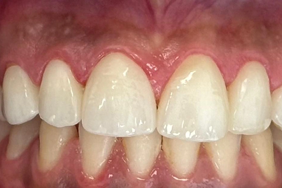
Faccette in ceramica

su arcata superiore (13–23)

In questo caso clinico è stato eseguito un trattamento estetico mediante applicazione di faccette in ceramica sull’arcata superiore, dagli elementi 13 a 23, con l’obiettivo di migliorare forma, proporzioni e armonia del sorriso, mantenendo un risultato estremamente naturale. Si ringrazia per la collaborazione il Dr. Chiesa Francesco.

No items found.
Torna ai Case Report

Desideri maggiori informazioni?

Contattaci senza impegno, ti risponderemo in un attimo!
Contattaci